|
|
Der Beginn der embryonalen
Entwicklung ist natürlich die Paarung. Im Gegensatz zum Menschen,
haben Katzen eine induzierte Ovulation (Eisprung), d.h. die Ovulation(en)
kann einer Katze kann nur während (und als Folge) der Paarung erfolgen.
|
|

|

|
Nach
dem Vier-Zell-Stadium sind nicht mehr alle Zellen "totipotent", d.h. die
Zellen verlieren ihre Fähigkeit zu einzelnen, kompletten Individuen
heranzureifen. Aus diesem Grund gibt es keine identischen (eineiigen)
Achtlinge. Die Teilungen wiederholen sich; es werden mehr und mehr
Zellen. Dieses Stadium wird auch als Spaltungsphase bezeichnet, da nur
Zellteilung aber kaum Wachstum stattfindet (der Embryo wächst noch
nicht). Natürlich erhöht sich die Menge an Kernmaterial, weil jede neue
Zelle einen Kern besitzt. Vier Tage nach der Befruchtung sind das
etwa 30 Zellen, in der Form einer Kugel. Nach etwa sechs Tagen,
entwickelt die sogenannte Blastula eine Höhe, die von 60 bis 80 Zellen
umgeben ist, die einen Durchmesser von 0,6 mm haben. Dieser Hohlraum ist
der Anfang von dem, was später der Verdauungstrakt wird. Die äußeren
Zellen der Blastula heißen Trophoblasten. Diese Zellen sind der Beginn
der Plazenta. |
|

in dieser Zeit wird ein Hormon produziert, das sicherstellt, dass die
Gebärmutterschleimhaut für das Einnisten des Embryos bereit ist. Die
Embryonen haben sich für die nächste, sehr wichtige Phase eingebettet:
Die Gastrulation. Gastrulation ist ein außergewöhnlicher Vorgang.
Verschiedenen Zonen der Blastula falten sich, und bilden drei mehr oder
weniger unterschiedliche Schichten: Ektoderm, Entoderm und Mesoderm.
Ektoderm ist die Bezeichnung für die äußeren Zellen des Körpers, die
Haut (Epidermis), aber die zentrale Nervensystem hat auch einen
ektodermalen Ursprung. Das Entoderm besteht aus Zellen, die den
Verdauungstrakt, das Magen-Darm-System, bilden (werden). Das Mesoderm
schließlich sind die Zellen, aus denen sich die Muskulatur, Skelett und
inneren Organen bilden. Die erste mesodermale Struktur, die gebildet
wird, ist die Chorda, die Wirbelsäule. Inzwischen wird der Wachstum
fortgesetzt und der Embryo wird eiförmig. Die Abmessungen sind ca. 1,5
mm x 1mm.
Gastrulation ist ein lebensnotwendiger und gefährdeter Moment in der
Existenz eines Embryos. In diesem Stadium wird das genetische Material
des Embryos selbst zum Tragen. Vor dieser Zeit wurden die Prozesse vor
allem durch mütterliche Einflüsse, durch das Material in der
mütterlichen Eizelle, kontrolliert. Viele Embryonen sterben in dieser
Phase durch tödliche Gen-Kombinationen, die nicht funktionierende oder
defekte Proteine produzieren.
In diesem Stadium ist er Katzenembryo 1,5 mm x 1mm groß.
|
|
 |
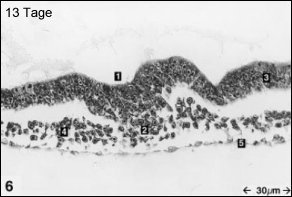
Im
nächsten Schritt werden die Organe entwickelt.
Das Ektoderm bildet eine Haut, die den ganzen Körper abdeckt, und eine
verdickte Platte entwickelt sich, die sich zu einer Nut faltet: Der
Neuralleiste. Letztendlich wird diese Nut zu einem Rohr (Kanal),
das unter der Hautoberfläche liegt und sich zum die zentralen
Nervensystems entwickelt.
Wir haben bereits (oder erst!) den 13. Tag erreicht. |
|

|
Etwas
überraschend geschieht:
Konzentrationen von mesodermalen Gewebe, "Somiten" erscheinen auf jeder
Seite der Neuralleiste, als Folge davon ist der Embryo in identische
Strukturen unterteilt.
Der Embryo hat eine längliche Form und eine stabförmige Struktur in der
Mitte, die Notochord, das erste Skelett-Element (das Rückenmark in der
Entwicklung). Die Zahl der Somiten erhöht sich. |
|
 |
Kopf-
und Schwanzende lassen sich gut unterscheiden und der Schwanz hat sich
auch schon gebildet.
Das Entoderm wird zu einer röhrenförmigen Struktur, dem Beginn des
Magen-Darm-System, gefaltet.
Eine primitive Art der Durchblutung entwickelt sich ebenfalls. |
 |
|
Im Alter von 15 bis 17 Tagen
ist der Katzenembryo 2 mm bis 10 mm groß.
Das Neuralleiste schließt sich. Der Kopf ist gut erkennbar und leicht
zur Bauchseite des Embryos gebogen.
Das primitive Magen-Darm-System ist fertig, und die Entwicklung eines Maul
beginnt.
Zur gleichen Zeit entwickelt sich das Kleinhirn und es ist schon
erkennbar, wo Augen und Ohren liegen.
Das Kätzchen hat nun den 18. Tag nach der Empfängnis erreicht. An den
Tagen 18 und 19 entwickeln sich die Vorder- und Hinterbeine. Groß- und
Stammhirn sind ebenfalls in einer rudimentären Form vorhanden. Der
Embryo ist zwischen 7 mm und 18 mm lang; Hals und Schwanz sind zum
Oberkörper gebogen. |
|
Jetzt geschieht alles ziemlich schnell.
Der Embryo ist jetzt 10 mm bis 24 mm lang.
Die Impfung mit einem lebenden Virus (in abgeschwächter Form) kann
nachteilige Auswirkungen auf den Embryo haben.
Ebenfalls schädlich kann z.B. die Verwendung von Mitteln gegen Pilz
sein. Antibiotika sollten nur angewendet werden, wenn unbedingt
erforderlich ist, besonders Baytril sollte vermieden werden.
Selbstverständlich sollte das Leben der Mutterkatze Vorrang vor dem
Leben der Kätzchen haben. In der Zwischenzeit zeigt die Katze Anzeichen
dafür, dass sie schwanger ist: Ihre Brustwarzen werden etwas größer und
röter, als sie vorher waren. Nach 21 Tagen kann eine erfahrene Person
durch Abtasten bestimmen (eine Art vorsichtiges berühren und fühlen), ob
die Katze ist schwanger. Zu diesem Zeitpunkt sind die Föten noch so
klein (die Größe einer Erbse), dass sie voneinander unterschieden und
gezählt werden können.
|
 |
|
Das zweite Drittel der Schwangerschaft
|
|
 |
In den nächsten Tagen (Tag 21 bis 23) wird die obere Schnauze gebildet
und die Augenlider beginnen sich zu entwickeln. Ohrläppchen werden
gebildet. Am Ende der Beine kann man die Zehen als einen Fächer aus
dunkler Materie vor einem hellen Hintergrund erkennen. Die Genitalien
entwickeln sich weiter. Im Körper bilden sich das Skelett und die
Muskulatur aus, unter anderem werden die Rippen gebildet; Zunge und
Gaumen formen sich. Schilddrüse, Nebenschilddrüse und Herz entwickeln
sich weiter. Die Maße des Embryos betragen nun 13 mm bis 30 mm.
|
|

|
Im Alter von 23 bis 25 Tagen
beginnen die Zehen der Vorderbeine, die bereits sichtbar waren, aber
immer noch einen Klumpen bildeten, sich von einander zu trennen.
Nebennieren und Genitalien bilden sich weiter aus.
Im Kopf entwickeln sich Kiefer, Gaumen, Zunge und Speicheldrüsen. Im
Gehirn bildet sich die Hirnanhangdrüse, ein wichtiges Organ, dass
verschiedene Hormone produziert:
Vasopressin, dass eine große Bedeutung für den Flüssigkeitshaushalt im
Körper hat;
Oxytocin, das eine Rolle bei der Geburt und später in der Säugezeit
spielt |
|

|
Tag 25 bis 28. Größe: 21 mm
bis 40 mm.
In dieser Phase sind die Embryonen schon beinahe vollständige
Mini-Katzen und besser als Föten bezeichnet werden.
Alles entwickelt sich weiter und unterscheidet sich immer besser.
Der Kopf entwickelt Wangen, Kinn, Nase und Mund.
Der Bereich, der zum Nabel wird, verkleinert sich.
Das Bauchfell, die Lungen und das Zwerchfell werden geformt.
Die Handwurzelknochen, Zehen und Rippen sind zwar noch knorpelig,
beginnen aber zu verkalken.
Zähne bilden sich, auch wenn sie noch im Kiefer versteckt sind. |
|

|
Die Dinge beginnen Gestalt
anzunehmen.
Die Föten wachsen nun auch rasant und die meisten "Teile" sind an ihrem
vorher bestimmten Ort.
In der Phase 28. bis 32. Tag sind die Föten 25 mm bis 50 mm groß und es
ist jetzt schwierig ihre Anzahl zu bestimmen.
Über den Augen (die schon gebildet wurden) entwickeln sich Augenlider
und es gibt kleine, dreieckige Ohren. Das Innenohr beginnt die
komplizierte Struktur zu entwickeln, mit der das Tier später hören kann;
das Trommelfell wird gebildet.
. Bei weiblichen Föten entwickelt sich die Gebärmutter.
Die Leber, die bereits vorhanden ist, wird "lappig". Die Blase
entwickelt sich ebenfalls.
Die Größe der Föten beträgt jetzt 25 mm bis 50 mm. |
|

|
Die Föten wachsen weiter, der
Kopf ist und bleibt relativ groß.
Die Katze wird nun optisch größer,
vor allem wenn sie mehrere Föten führt.
Wir sind nun beim Zeitraum von 32 bis 38 Tagen angekommen.
Die Größe der Föten beträgt jetzt 35 mm bis 60 mm.
Die Haut fühlt sich glatt an, da es noch kein Fell vorhanden ist.
Die äußeren Geschlechtsorgane bilden sich und an den Zehen wachsen
Nägel.
Auch die Augen entwickeln sich weiter, unter anderem wird die Iris
gebildet. |
|
Das dritte Drittel der Schwangerschaft

|
|
Zwischen Tag 38 und Tag 44
entwickelt sich die Haut weiter, sie wird dicker und beginnt runzelig zu
werden.
Der Schwanz wird länger und die Ohren werden größer. Das Innenohr formt
sich, besteht aber immer noch aus Knorpel. Im Darm beginnen die
Darmzotten zu wachsen. Die Augenlider sind vollständig vorhanden und die
Augen sind geschlossen. Der Embryo hat nun eine Größe zwischen 50 mm bis
80 mm.
Am 44. Tag ist misst der Embryo zwischen 59 mm und 94 mm. Das Fell
entwickelt sich und der Fötus ist mit einer Art seidigen Schicht
überzogen. Ab dem 48. Tag (65 mm bis 125 mm) ist eine mögliche
Pigmentierung sichtbar. |
|

|
Endlich: Die letzte Etappe
beginnt ab Tag 58.
Dies ist die Phase kurz vor der Geburt. Alle Organe sind voll
ausgewachsen, damit der Fötus voll lebensfähig ist. Eine normale Geburt
erfolgt zwischen dem 59. und 69. Tag nach der Befruchtung. Vor dem 59.
Tag können die Kätzchen ohne medizinische Hilfe nicht überleben. Sollte
die Schwangerschaft länger als 69 Tage dauern, ist es ratsam einen
Tierarzt zu konsultieren.
|
| |
|
|
|
|
Quellen
*C. Darwin. In The Origin of Species by Means of Natural Selection, or
The Preservation of Favoured Races in the Struggle for Life, First
Edition. Chapter 13: Mutual Affinities of Organic Beings: Morphology:
Embryology: Rudimentary Organs.
*C. Knopse. Periods and Stages of the prenatal development of the
domestic cat. Anat. Histol. Embryol. 31,37-51, 2002 Blackwell
Wissenschafts-Verlag, Berlin
*C.H. WaddingtonGeorge Allen & Unwin LTD. Principles of Embryology.
1954. |
|
|